Ատամների ռեստավրացիա Երևանում․ անվտանգ և էսթետիկ լուծումներ ձեր ժպիտի համար
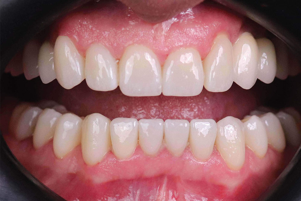
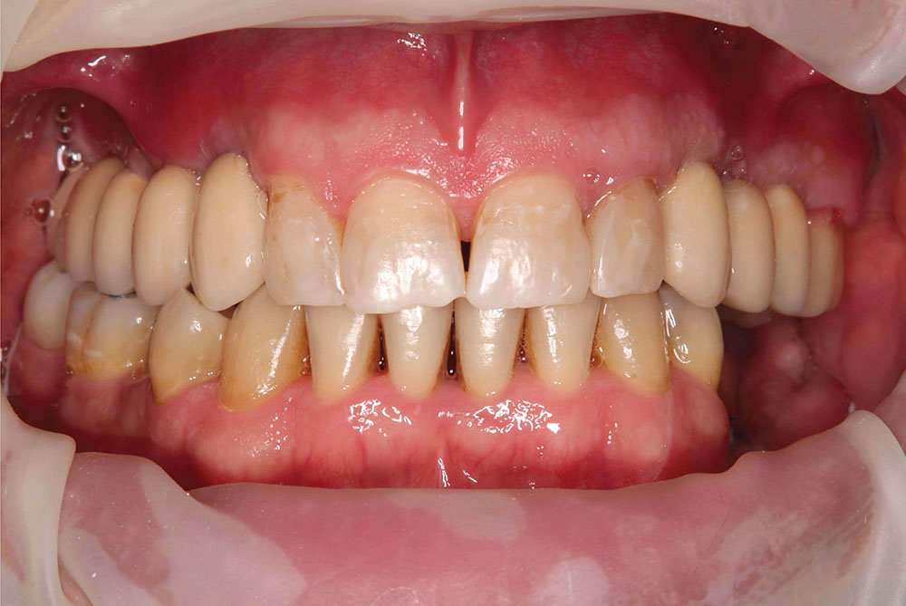
Երբևէ նայե՞լ եք հայելու մեջ և ցանկացել, որ Ձեր ատամները նույնքան առողջ և վստահ տեսք ունենան, որքան դուք եք Ձեզ զգում։ Անկախ նրանից, թե դա դիմացի կոտրված ատամ է, գունափոխված պլոմբ թե մաշված էմալ, ատամների ռեստավրացիան կարող է վերականգնել թե՛ ձեր ժպիտի էսթետիկ տեսքը, և թե՛ ֆունկցիոնալությունը։ Ատամի ռեստավրացիան ստոմատոլոգիական բուժման մեթոդ է, որը նախատեսված է վնասված ատամները վերականգնելու և ատամնաշարի վիճակը բարելավելու համար։ Այցելուները դրա կարիքը կարող են ունենալ, երբ ունեն խոռոչներ (կարիես), կոտրված ատամներ, ատամների գունափոխում, ատամների միջև բաց տարածություններ կամ ձևախախտված էմալ։ Ի տարբերություն ավանդական պլոմբների, որոնք պարզապես «փակում են» խնդիրը, ժամանակակից ռեստավրացիան միաժամանակ կենտրոնանում է թե՛ ամրության, թե՛ էսթետիկայի վրա՝ օգնելով Այցելուներին վերականգնել իրենց ինքնավստահությունը ամեն անգամ, երբ նրանք ժպտում կամ խոսում են։ Ատամների վերականգնման հիմնական ցուցումներն են՝ վնասվածքները, տարիքային փոփոխությունները, էմալի մաշվածությունը և էսթետիկ անվստահությունը։ Անկախ նրանից, թե Այցելուի նպատակը միայն առջևի ատամների էսթետիկ ռեստավրացիան է՝ իդեալական ժպիտի համար, թե ամբողջական վերականգնումը՝ ֆունկցիոնալ նպատակներով, կլինիկայում բուժումն իրականացվում է Այցելուի անհատական կարիքներին համապատասխան։ Կարևոր է նաև հասկանալ պլոմբավորման և ռեստավրացիայի միջև եղած տարբերությունը: Պլոմբը օգտագործվում է, երբ ատամը փչացած է խիստ սահմանափակ՝ փոքր մակերեսով: Մինչդեռ, եթե ատամը վնասված է, ունի շարժ, ճաքած է կամ անհրաժեշտ են կոսմետիկ շտկումներ, ապա ռեստավրացիան ապահովում է ավելի դիմացկուն և էսթետիկորեն ավելի գեղեցիկ արդյունք: Ատամների ժամանակակից ռեստավրացիան ունի մի շարք առավելություններ, ինչպիսիք են՝ Ինչպես ցանկացած ստոմատոլոգիական միջամտության դեպքում, այս դեպքում ևս արդյունքը կախված է ճիշտ հիգիենայից և խնամքից։ Վերականգնված ատամները պետք է պարբերաբար մաքրել խոզանակով, պարբերաբար այցելել ատամնաբուժական կլինիկա պրոֆիլակտիկ նպատակներով։ Որոշ դեպքերում՝ ժամանակի ընթացքում կարող են պահանջվել փոքր շտկումներ, հատկապես այն մարդկանց համար, ովքեր սուրճ հաճախ են օգտագործում կամ ծխում են։ MaryClinic-ում մենք հավատում ենք, որ գեղեցիկ ժպիտը սկսվում է ճշգրտությունից և խնամքից։ Մեր բարձրակարգ ատամնաբույժների թիմը օգտագործում է ռեստավրացիայի ոլորտի ամենավերջին տեխնոլոգիաներ՝ ապահովելով գույնի և ֆունկցիոնալության կատարյալ համադրություն։ Մենք առաջարկում ենք ատամների ռեստավրացիայի մատչելի գներ Երևանում՝ առանց որակի զիջման, նաև անհատականացված բուժման պլաններ յուրաքանչյուր Այցելուի համար։ Մեր նպատակը միայն ատամների խնդիրների շտկումը չէ, այլև ինքնավստահության և հարմարավետության վերականգնումն իսկական էսթետիկ ստոմատոլոգիայի միջոցով։ Ժպիտը փոխում է ոչ միայն ձեր տեսքը, այլև ձեր ինքնավստահությունը։Ի՞նչ է ատամների ռեստավրացիան և ի՞նչ խնդիրներ է լուծում այն
Ատամների էսթետիկ վերականգնման՝ ռեստավրացիայի տեսակները. կոմպոզիտային վինիրներ, E-max վինիրներ և լյումիներներ
MaryClinic ստոմատոլոգիական կենտրոնում մենք առաջարկում ենք մի քանի տարբերակ՝ կախված ձեր ատամների վիճակից և էսթետիկ նպատակներից՝
Ե՞րբ ընտրել ռեստավրացիա, իսկ երբ՝ պլոմբավորում
Ատամների ռեստավրացիայի առավելությունները և հնարավոր հակացուցումները
Ինչո՞ւ ընտրել MaryClinic-ը ատամների էսթետիկ և ֆունկցիոնալ բուժման համար
Ամրագրե՛ք անվճար խորհրդատվություն MaryClinic-ում և վերադարձրե՛ք ձեր ժպիտի բնական փայլը։
